Download

ORIGINAL ARTICLE

Assessing the impact of olive pomace and whey powder on growth performance and nutritional parameters in Wistar rats

Nacera Lahouel1,2, Omar Kheroua1, Nadjette Djemouai3, Khadidja Ouled Hadj Youcef2, Ahmed Boualga4, Samia Addou1, Fehmi Boufahja5, Walid Elfalleh5, Hamdi Bendif5*

1Laboratory of Physiology of Nutrition and Food Safety, Department of Biology, Faculty of Natural and Life Sciences, University Oran 1 Ahmed Ben Bella, Oran, Algeria;

2Unitéde Recherche Appliquéeen Energies Renouvelables, URAER, Centre de Développement des Energies Renouvelables, CDER, Ghardaïa, Algeria;

3Department of Biology, Faculty of Natural and Life Sciences and Earth Sciences, University of Ghardaia, Ghardaïa, Algeria;

4Laboratory of Clinical and Metabolic Nutrition, Department of Biology, Faculty of Natural and Life Sciences, University Oran 1 Ahmed Ben Bella, Oran, Algeria;

5Department of Biology, College of Science, Imam Mohammad Ibn Saud Islamic University (IMSIU), Riyadh, Saudi Arabia

Abstract

The present study was conducted to evaluate the nutritional efficacy of olive pomace (OP) and whey powder (WP) as alternative feed ingredients in animal diets. A total of 18 male Wistar rats were randomly assigned to three experimental groups (n = 6 per group) and fed one of the following diets for 28 days: a standard control diet (S), an OP-based diet, and a WP-based diet. The OP diet resulted in body weight gain of 95.86 ± 2.48 g (78.33% increase), which was 92.6% of the S group’s performance (103.5 ± 0.80 g; 80.73% increase) despite significantly lower energy intake (1,250.00 ± 7.40 kcal/rat vs. 1,891.6 ± 7.14 kcal/rat). The WP diet led to moderate growth of 85.24 ± 3.92 g (66.03% increase) with an energy intake of 1560.6 ± 6.6 kcal/rat. Despite lower nitrogen balance and protein digestibility, the OP diet improved intestinal morphology, showing a higher villus height-to-crypt ratio than both S and WP groups. These changes may help mitigate the loss in digestibility. The WP diet showed numerically lower lipid levels without reaching statistical significance, while liver enzymes were significantly increased (aspartate transaminase: 253 ± 3.21 U/L, P < 0.001; alanine transaminase: 97 ± 4.93 U/L, P < 0.05), compared to control and OP groups. Both diets offer distinct benefits for sustainable animal nutrition.

Key words: animal nutrition, digestibility, intestinal morphology, nitrogen balance, olive pomace, whey powder

*Corresponding Author: Hamdi Bendif, Department of Biology, College of Science, Imam Mohammad Ibn Saud Islamic University (IMSIU), Riyadh 11623, Saudi Arabia. Email: [email protected]

Academic Editor: Jelena Popović-Djordjević, PhD, Department for Food Technology and Biochemistry, Faculty of Agriculture, University of Belgrade, Belgrade, Serbia

Received: 4 May 2025; Accepted: 1 December 2025; Published: 5 February 2026

DOI: 10.15586/qas.v18i1.1567

© 2026 Codon Publications
This is an Open Access article distributed under the terms of the Creative Commons Attribution-NonCommercial-ShareAlike 4.0 International (CC BY-NC-SA 4.0). License (http://creativecommons.org/licenses/by-nc-sa/4.0/)

Introduction

Animal production is considered as one of the -fundamental pillars of agricultural systems globally. This sector plays a vital role in providing food and achieving food security, and animal nutrition plays a crucial role in the sustainable development of livestock production, as it directly affects the health of agricultural animals as well as their productivity and welfare. Following a balanced diet that includes suitable sources of energy, proteins, minerals, and vitamins is essential to ensure optimal animal performance (Al-Dobaib and Mousa, 2009; Low et al., 2021). Recent developments in nutritional science have improved the biological availability of nutrients and enabled the design of targeted diets specifically tailored to meet the specific needs of various animal species (Nalle and Bhande, 2025; Yiğit et al., 2023). In this regard, since the beginning of the trend toward intensive animal production, the use of antibiotics and chemical growth promoters in animal feed has been widespread for the purpose of increasing weight, improving feeding efficiency, and reducing proportion of diseases in animals (Lan et al., 2020; Pandey et al., 2019). Antibiotics and chemical growth promoters work to modify the gut microbiota, improve nutrient digestion, and reduce subclinical infections (Bava et al., 2024; Ferlisi et al., 2023). However, risks are identified because of their widespread use, with profound effects not only on animals but also on humans. Excessive and prolonged use of these antimicrobial substances leads to the elimination of both harmful and beneficial bacteria in animals, resulting in an imbalance in the bacterial flora and a reduction in the thickness of the mucous layer covering the inner -lining of the intestine, making it susceptible to pathogenic microbes, causing an imbalance in the intestinal flora, and weakening the immune system. In addition, it causes damage to the liver and kidneys because of the accumulation of toxic residues, cardiovascular disorders, immune suppression, and reproductive disorders (Al-Dobaib and Mousa, 2009; Chiofalo et al., 2020; Ferlisi et al., 2023; Ghimpețeanu et al., 2022; Low et al., 2021; Vanivska et al., 2025; Yan et al., 2020). Furthermore, the use of antibiotics and failure to discontinue their use sufficiently in advance of slaughter pose risks to public health, including antimicrobial resistance, bacterial infections resistant to conventional treatments, changes in the human microbiome, and potential long-term toxic effects (Al-Dobaib and Mousa, 2009; Bava et al., 2024; Low et al., 2021; Paié-Ribeiro et al., 2025).

Therefore, reducing the use of antibiotics has become an important priority, and the trend toward natural alternatives such as functional nutrients and industrial agricultural by-products that have a positive impact on human health is essential, even if only in the long term. Whey powder (WP), a dairy by-product obtained from cheese manufacturing, offers a promising and safe alternative to antibiotics in animal nutrition because of its richness in bioactive proteins, lactoferrin, and antibodies that have the effect of increasing the digestion and absorption of nutrients and minerals, thereby increasing feed conversion efficiency (FCE) and stimulating growth as well as supporting gut health (Lan et al., 2020; Mahmoud et al., 2023; Nalle and Bhande, 2025; Paié-Ribeiro et al., 2025). Similarly, olive pomace (OP), the solid residue resulting from olive oil extraction, is rich in bioactive compounds, including polyphenols and dietary fiber, exhibiting antioxidant and antimicrobial effects that improve gut health, promote livestock growth, and reduce methane emissions. Both by-products have demonstrated antimicrobial properties, reducing the need for synthetic antibiotics (Chiofalo et al., 2020; Ferlisi et al., 2023; Formato et al., 2022; Ghimpețeanu et al., 2022).

Despite the recognized potential of WP and OP as functional feed components, the comprehensive evaluation of their combined or individual effects on growth performance, biochemical properties, digestibility, and organ health, compared with traditional growth promoters, remains limited. Moreover, controlled experimental studies that examine these by-products as complete alternatives to antibiotic growth promoters in standardized animal models are rare. Therefore, our study aimed to fill this gap by evaluating the nutritional potential of WP and OP as alternative components in the basal diet of a Wistar rat model. We explored their benefits and their ability to replace traditional growth stimulants through comprehensive analyses of growth parameters, biochemical and digestive properties, and the health of body systems. Our research focuses on the use of natural and functional products, aiming to address current sustainability and food safety challenges by providing evidence-based insights into the feasibility of these industrial agricultural by-products as sustainable alternatives in animal nutrition.

Materials and Methods

Schematic overview of the experimental program

Figure 1 presents a comprehensive flow diagram illustrating the sequential stages of the experimental protocol from animal procurement to final analysis. This methodological framework was designed to evaluate systematically the nutritional and physiological effects of OP and WP supplementation in growing male Wistar rats, thereby addressing the primary objective of this study. All laboratory procedures were conducted by following standard protocols established at our institution (Université Oran 1 Ahmed Ben Bella), and all chemicals and reagents were of analytical grade obtained from certified suppliers. The 28-day experimental period encompassed diet administration, metabolic assessments (days 25–27), and comprehensive biochemical and histopathological analyses.

Figure 1. Schematic overview of the experimental program showing the sequential stages from animal procurement to final analysis. The study involved three dietary groups (n = 6 per group) evaluated over 28 days.

Experimental animals

Wistar albino rats (Rattus norvegicus, Berkenhout, 1769) weighing between 130 g and 140 g were obtained from the Pasteur Institute of Algeria. The animals were randomly allocated into three homogeneous groups (n = 6 per group) based on their body weight. The sample size was determined based on the anticipated differences in primary outcomes from previous similar studies. The animals were maintained under controlled conditions: a temperature of 24 ± 2°C, 12/12 light/dark cycles, a relative humidity of 70 ± 5%, and regulated ventilation. Feed and tap water were provided ad libitum throughout the 28-day experimental period.

Ethical Approval

All experimental procedures were conducted in accordance with the guidelines of the Council of European Communities (1986; Directive 86/609/EEC) on the protection of animals used for experimental and other scientific purposes. The study protocol was reviewed and approved by the Ethics and Professional Conduct Committee (Institutional Animal Care and Use Committee) of Université Oran 1 Ahmed Ben Bella, Oran, Algeria, under Ministerial decree N°991, dated December 10, 2020. In addition, this study was reported in compliance with the ARRIVE 2.0 guidelines.

Diet composition and preparation

Experimental diets were prepared for this study, featuring three dietary groups: a standard (S) diet formulated as an isoenergetic control, an olive pomace-based (OP) diet, and a whey powder-based (WP) diet.

Initially, the standard (S) diet was prepared according to the composition for growing rats as outlined by National Research Council (NRC, 1995) and Reeves et al. (1993). The second diet was formulated using OP sourced from a local olive oil processing unit in Ghardaïa, Algeria (coordinates: 32° 29’ 10.09’’ N, 3° 38’ 35.35’’ E). The collected OP was transported to the laboratory and underwent processing. This included drying at 60°C, crunched to a homogeneous powder, and sterilized. The OP powder was subsequently analyzed for its chemical composition (moisture, protein, carbohydrates, crude fiber, fat, and ash) according to the AOAC (2005) methods and stored in airtight containers at room temperature until used in the experimental diets. The third diet was formulated using WP that was purchased from Agropur CRINO Permeate Whey (Canada). The WP, obtained in its powdered form via spray drying, was used as received. Table 1 presents the chemical compositions of OP and WP diets. Each diet was formulated to be nutritionally balanced to support optimal rat growth, and Table 2 provides the detailed composition of experimental diets.

Table 1. Proximate composition of whey powder and olive pomace (% wet weight).

Parameter Whey powder Olive pomace
Crude protein (%) 12.1 ± 0.11 6.5 ± 0.13
Crude fat (%) 0.76 ± 0.3 8.72 ± 0.02
Crude ash (%) 8.5 ± 0.26 2.36 ± 0.10
Moisture content (%) 3.8 ± 0.06 7.2 ± 0.05

Note: Values are mean values ± SD (n = 3).

Table 2. Composition of diets (g/kg diet).1

Ingredients Diets
S WP OP
Casein2 200 122.45 179.37
Corn starch3 550 - 313.90
Sucrose4 40 - 17.94
Whey powder5 - 680.27 -
Olive pomace6 - - 448.43
Vegetable oils7 100 47.62 13.45
Cellulose8 50 136.05 -
Vitamin mix9 40 13.61 17.94
Mineral mix10 20 - 8.97
% Energy from protein 20 24 32
% Energy from lipids 22 14 18
% Energy from carbohydrate 58 62 50
Total energy (kcal/kg diet) 4,025 3,363 2,625
Total diet density (g/kg diet) 890.00 747.34 592.91

Notes: S: standard diet; OP: olive pomace-based diet; WP: whey powder-based diet.

1Semi-synthetic diets were prepared in our laboratory.

2Prolabo, Fontenay-sous-Bois, France.

3Lactamel Sarl, Sidi Bel Abbès, Algeria.

4,7Cevital SPA, Béjaïa, Algeria.

5Whey Powder Agropur CRINO Permeate Whey–Canada

6Olive Pomace obtained as a by-product from a local olive oil mill and processed in our laboratory.

8Prolabo, Fontenay-sous-Bois, France.

9UAR 205 B, Villemoisson, 91360, Epinay/S/Orge, France.

10UAR 200, Epinay/S/Orge, France.

Experimental protocol

Initially, rats from each group were housed collectively in conventional cages. For metabolic studies, animals were transferred individually to metabolism cages specially designed for satisfactory separation of urine and feces only during days 25–27 of the experiment (Pilvi et al., 2008). Throughout the experimental period (28 days), each group received its respective diet (Figure 2).

Figure 2. Experimental timeline and design of dietary intervention in male Wistar rats.

During the separation period in the metabolism cages, feces and urine were collected daily, with feces weighed and urine volume measured. These measurements were essential for quantifying nitrogen loss and lipid content, and the samples were stored at –20°C for further analysis (Esteve et al., 1992).

Nitrogen content determination

Nitrogen content in urine, feces, and diets was measured using the Kjeldahl (1883) method, modified according to the protocol of Sáez-Plaza et al. (2013). This method involves digesting the samples with concentrated sulfuric acid, followed by distillation and titration to determine the nitrogen content.

Fecal lipid extraction

For lipid extraction, fecal samples from each rat were powdered and processed using a chloroform–methanol (2:1) mixture, as described by Kraus et al. (2015). This extraction protocol efficiently isolates lipids by separating the lipid-containing lower phase. After centrifugation, the lipid-rich phase was carefully collected and evaporated in an oven at 30°C. The lipid mass was then determined by weight difference by following the evaporation process.

Growth and nutritional efficiency parameters

During the experimental period, the quantities of diet consumed and/or wasted were recorded daily, allowing for the calculation of total feed intake. The body weight of the rats was also measured. Subsequently, body weight gain, protein efficiency ratio (PER), food conversion efficiency (FCE), apparent digestibility coefficient of protein (ADCpro), nitrogen balance, and apparent digestibility coefficient of lipids (ADCL) were calculated using standard methods. These parameters are commonly used in literature to evaluate nutritional efficiency and growth performance.

Blood and organ samples

On the 28th day, following a 12-h fast, the rats were euthanized. The animals were first deeply anesthetized with sodium pentobarbital (60 mg/kg BW), followed by exsanguination via the abdominal aorta to ensure a humane endpoint. Death was confirmed by cessation of heartbeat and respiration before tissue collection commenced. Blood samples were obtained from the abdominal aorta into dry test tubes. Serum was obtained after centrifugation at 1,000×g for 20 min at 4°C (Sigma Laborzentrifugen GmbH, Osterode am Harz, Germany) and stored at –70°C until analysis. Organs (liver, kidney, and intestine) were carefully removed and rinsed in a 0.9% NaCl physiological solution cooled to 4°C to halt enzymatic reactions. Then the tissues were immersed in 10% formalin for fixation and stored for subsequent histological sectioning.

Biochemical analyses

Serum biochemical parameters (urea, alanine transaminase [ALT], aspartate transaminase [AST], creatinine, glucose, triglycerides, and total cholesterol) were analyzed using a spectrophotometric method with commercial DiaSys diagnostic kits (Diagnostic Systems GmbH, Germany) according to the manufacturer’s standardized procedures.

Histopathological analyses

The tissue samples (liver, kidney, and jejunum portion of the intestine) were fixed in formalin (10%), dehydrated with a sequence of ethanol solution, embedded in paraffin, cut into 5-μM sections, and stained with hematoxylin and eosin (H&E) (Pearse, 1985). The stained sections were photographed under an optic microscope (Optica B 500 TPL) (×40 magnification) coupled to a microscope camera (M-699), and the Image J software (National Institutes of Health, USA) was used for organ histomorphometric analyses. All histological assessments were performed by a trained pathologist who was blinded to experimental groups to eliminate potential observer bias. Each slide was assigned to a unique, randomly generated identifier.

Statistical analysis

Data are presented as mean values ± SEM (n = 6). All animals were included in the final analysis. No adverse events or complications were observed. All statistical analyses used R (version 4.4.0). Daily body weight changes over 28 days (Figure 3) were analyzed using a linear mixed model (LMM) with diet and day as fixed effects and rat ID as a random effect to adjust for within-subject correlation, modeled with an autoregressive (AR(1)) covariance structure. LMM model: Body weight ~ Diet × Day + (1|Rat). Model fitting used the lme4 package; diagnostics confirmed model fit, and the car package for ANOVA testing. The single-timepoint measurements were analyzed using one-way ANOVA with Tukey’s post hoc test for multiple group comparisons. The level of significance was set at P < 0.05 for all comparisons. A principal component analysis (PCA) was performed on individual replicate data (n = 18; six per dietary group) using the FactoMineR and factoextra packages in R to provide a descriptive multivariate visualization of relationships among nutritional parameters (BWG, PER, FCE, ADCpro, ADCL, and NB). All variables were standardized (centered and scaled to unit variance) prior to analysis. The PCA served as a descriptive and exploratory tool, complementing univariate analyses by visualizing integrated nutritional response patterns between dietary groups, rather than testing hypotheses.

Figure 3. Daily body weight changes in rats fed experimental diets for 28 days. Data are presented as mean ± standard error of mean (SEM) (n = 6). S: Standard diet; OP: olive pomace-based diet; and WP: whey powder-based diet. Superscript letters a, b, and in the same row indicate significant differences at P < 0.05 determined using a linear mixed model (LMM), followed by Tukey’s significant difference test. The LMM included diet and day as fixed effects, and individual rats as random effects.

Results

Overall growth performance and feed intake (28-day period)

Throughout the 28-day experimental period, all dietary groups showed positive growth patterns, although with distinct differences in their trajectories. The S group achieved the highest final body weight (231.76 ± 1.00 g), followed by the OP group (218.32 ± 2.39 g) and the WP group (209.89 ± 3.16 g). The total weight change was significantly higher in the S group (103.5 ± 0.80 g), compared to the WP group (85.24 ± 3.92 g), with the OP group showing intermediate values (95.86 ± 2.48 g). These changes corresponded to the overall body weight gains of 80.73%, 78.33%, and 66.03% for the S, OP, and WP groups, respectively. Body weight gain was significantly lower in the WP group, compared to the control (mean difference: –14.70%, 95% CI: –20.1 to –9.3%, P < 0.001), while no significant difference was observed between OP and control groups (mean difference: –2.40%, 95% CI: -6.2 to 1.4%, P = 0.18). FCE showed no significant differences between groups, with mean differences of +0.01 (95% CI: –0.03 to 0.05) for OP versus the control and –0.04 (95% CI: –0.07 to –0.01) for WP versus the control (Table 3, Figure 3).

Table 3. Growth performance and feed intake in rats fed experimental diets over 28 days.

Diets Initial weight (g) Final weight (g) Change in weight (g) Body weight gain (%) Feed intake
(g)
Energy intake
(kcal/rat)
S 128.26 ± 0.90a 231.76± 1.00a 103.5 ± 0.80a 80.73 ± 0.96a 469.9 ± 3.64a,b 1891.6 ± 7.14a
OP 122.45 ± 0.76b 218.32 ± 2.39b 95.86 ± 2.48a 78.33 ± 2.22a 476.2 ± 2.82a 1250.00 ± 7.40c
WP 126.48 ± 1.21a 209.89 ± 3.16b 85.24 ± 3.92b 66.03 ± 2.88b 464.1 ± 1.96b 1560.6 ± 6.6b

Notes: Data are presented as mean values ± SEM (n = 6).

S: Standard diet; OP: olive pomace-based diet; WP: whey powder-based diet.

Superscript letters a,b, and c in the same row indicate significant differences at P < 0.05 by one-way ANOVA, followed by Tukey’s significant difference test.

The cumulative feed intake over 28 days did not differ significantly between the OP and S groups. However, the OP group showed significantly higher intake (476.2 ± 2.82 g) than the WP group (464.1 ± 1.96 g), while the S group (469.9 ± 3.64 g) was intermediate.

Furthermore, total energy intake varied significantly, with the S group having the highest intake (1,891.6 ± 7.14 kcal/rat), followed by the WP group (1,560.6 ± 6.6 kcal/rat), and the OP group showing the lowest energy intake (1,250.00 ± 7.40 kcal/rat).

Metabolic cage period performance (final 3 days)

During the final 3 days of the experiment, when rats were individually housed in metabolic cages, distinct patterns in nutrient utilization emerged. The OP group exhibited the highest weight gain (14.1 ± 1.37 g/rat/3 days) and feed intake (62.88 ± 0.78 g/rat/3 days) during this period. The WP group showed the lowest weight gain (10.29 ± 0.63 g/rat/3 days), while the S group displayed intermediate values (12.56 ± 0.97 g/rat/3 days). Energy-adjusted FCE revealed that the OP group demonstrated significantly superior metabolic efficiency (0.085 ± 0.004 g/kcal), compared to both S (0.055 ± 0.002 g/kcal) and WP (0.054 ± 0.002 g/kcal) groups (P < 0.05), indicating enhanced nutrient utilization despite the lower energy density of the OP diet (Table 4).

Table 4. Growth performance and feed efficiency indices of rats fed experimental diets during the final 3 days of a 28-day feeding protocol.

Diets Weight gain (g/rat/3 days) Feed intake (g/rat/3 days) Protein intake (g/rat/3 days) PER FCE Energy-adjusted FCE (g gain/kcal)
S 12.56 ± 0.97a,b 56.59 ± 2.32b 10.83 ± 0.45b 1.17 ± 0.09a 0.22 ± 0.02a 0.055 ± 0.002b
OP 14.1 ± 1.37a 62.88 ± 0.78a 12.61 ± 0.16a 1.13 ± 0.12a 0.23 ± 0.02a 0.085 ± 0.004a
WP 10.29 ± 0.63b 57.20 ± 0.29b 11.41 ± 0.06b 0.90 ± 0.06a 0.18 ± 0.01a 0.054 ± 0.002b

Notes: Data are presented as mean values ± SEM (n = 6).

S: standard diet; OP: olive pomace-based diet; WP: whey powder-based diet; PER: protein efficiency ratio; and FCE: food conversion efficiency. All measurements represent individual rat values over the 3-day collection period.

Superscript letters a,b, and c in the same row indicate significant differences at P < 0.05 by one-way ANOVA, followed by Tukey’s significant difference test.

Protein utilization during the metabolic cage period

The metabolic cage period allowed precise measurement of nitrogen balance and protein utilization. The apparent digestibility coefficient of proteins (ADCpro) was significantly higher in the S group (97.17 ± 0.42%), compared to both OP (84.72 ± 0.40%) and WP (83.77 ± 1.38%) groups. Nitrogen intake was highest in the OP group (1,980.8 ± 6.52 mg/rat/3 days), while fecal nitrogen excretion was significantly lower in the S group (44.64 ± 6.86 mg/rat/3 days), compared to both experimental diets. The resulting nitrogen balance was highest in the S group (67.73 ± 4.15%), followed by the OP group (51.54 ± 1.35%), and finally, the WP group, which showed the lowest value (35.67 ± 5.39%) (Table 5).

Table 5. Nutritive utilization of protein in rats fed experimental diets during the final 3 days of a 28-day feeding protocol.

Diets Nitrogen intake (mg/rat/3 days) Fecal nitrogen (mg/rat/3 days) Urinary nitrogen (mg/rat/3 days) ADCpro (%) Nitrogen balance (%)
S 1697.7 ± 6.15b 44.64 ± 6.86b 470.9 ± 4.35b 97.17 ± 0.42a 67.73 ± 4.15a
OP 1980.8 ± 6.52a 300.17 ± 6.22a 627.4 ± 11.26a,b 84.72 ± 0.40b 51.54 ± 1.35a,b
WP 1784.7 ± 8.16b 286.2 ± 12.6a 833 ± 5.19a 83.77 ± 1.38b 35.67 ± 5.39b

Notes: Data are presented as mean values ± SEM (n = 6).

S: standard diet; OP: olive pomace-based diet; WP: whey powder-based diet; ADCpro: apparent digestibility coefficients of proteins. All measurements represent individual rat values over the 3-day collection period.

Superscript letters a,b, and c in the same row indicate significant differences at P < 0.05 by one-way ANOVA, followed by Tukey’s significant difference test.

Lipid digestibility during the metabolic cage period

During the metabolic cage period, the apparent digestibility coefficient of lipids (ADCL) showed minimal variation between groups, with the WP group exhibiting slightly higher values (96.95 ± 0.03%), compared to the S (96.46 ± 0.17%) and OP (96.34 ± 0.04%) groups. The ADCL was significantly higher in the WP group, compared to control (mean difference: +0.49%, 95% CI: 0.25–0.73%, P < 0.01), while no significant difference was observed between OP and control groups (mean difference: -0.12%, 95% CI: -0.38–0.14%, P = 0.32). The villus height-to-crypt depth ratio (VH:CD), an important indicator of intestinal absorptive capacity, was significantly higher in the OP group (3.05 ± 0.18), compared to both control (1.96 ± 0.08) and WP (2.64 ± 0.28) groups. Lipid intake was significantly higher in the S group (5,659.4 ± 2.32 mg/rat/3 days), while both experimental diets showed similar lower values (Table 6).

Table 6. Apparent lipid digestibility coefficients in rats fed experimental diets during the final 3 days of a 28-day feeding protocol.

Diets Lipid intake
(mg/rat/3 days)
Fecal lipid
(mg/rat/3 days)
ADCL (%)
S 5,659.4 ± 2.32a 188.16 ± 0.92a 96.46 ± 0.17b
OP 3,097.5 ± 3.85b 110.33 ± 1.44b 96.34 ± 0.04b
WP 2,979.6 ± 1.54b 90.19 ± 0.94c 96.95 ± 0.03a

Notes: Data are presented as mean values ± SEM (n = 6).

S: standard diet; OP: olive pomace-based diet; WP: whey powder-based diet; ADCL: apparent digestibility coefficients of lipids.

All measurements represent individual rat values over the 3-day collection period.

Superscript letters a,b, and c in the same row indicate significant differences at P < 0.05 by one-way ANOVA, followed by Tukey’s significant difference test.

Organ weight and blood parameters

The relative organ weight, expressed as percentage of body weight, revealed distinctive patterns between experimental groups (Figure 4). The S, OP, and WP diets showed varying effects on organ development after 28 days of feeding. Weight of the heart, liver, spleen, and intestine remained statistically similar across all dietary groups (P > 0.05). However, significant differences were observed in other organs; kidney weight was significantly higher in the S group (1.17 ± 0.04%), compared to both OP (0.8 ± 0.02%) and WP (0.86 ± 0.03%) groups (P < 0.05). Stomach weight showed a gradual increase from S (0.73 ± 0.02%) to OP (0.91 ± 0.03%) and WP (1.11 ± 0.06%) groups, with both experimental diets resulting in significantly higher relative stomach weight, compared to the control (P < 0.05). Lung weight varied significantly, with the WP group showing the highest values (0.92 ± 0.09%), compared to the OP (0.7 ± 0.03%) group, while the S group showed intermediate values (0.8 ± 0.04%). Notably, differences in adipose tissue distribution were particularly evident. White adipose tissue (WAT) was significantly higher in the OP group (1.54 ± 0.13%), compared to the WP group (1.01 ± 0.12%), with the S group showing intermediate values (1.08 ± 0.14%). Brown adipose tissue (BAT) showed even more pronounced differences, with the OP group exhibiting markedly higher values (4.76 ± 0.75%), compared to both S (1.49 ± 0.18%) and WP (1.94 ± 0.51%) groups.

Figure 4. Relative organ weight (% of body weight) in rats fed experimental diets over 28 days. Data are presented as mean ± SEM (n = 6). S: standard diet; OP: olive pomace-based diet; and WP: whey powder-based diet. Superscript letters a,b, and c in the same row indicate significant differences at P < 0.05 determined by one-way ANOVA followed by Tukey’s significant difference test.

Blood biochemical analysis revealed several significant differences between dietary groups. Glucose levels remained within normal physiological range across all groups (1.06–1.18 g/L), with no significant differences observed (P > 0.05). Total cholesterol levels appeared numerically lower in the WP group (0.31 ± 0.03 g/L), compared to the S (0.64 ± 0.04 g/L) and OP (0.71 ± 0.16 g/L) groups, although these differences were not statistically significant (P > 0.05). Triglyceride levels followed a similar pattern, with the WP group showing the lowest values (0.27 ± 0.01 g/L), also without statistical significance (P > 0.05), as indicated by the identical superscripts in Table 7.

Table 7. Blood plasma parameters of rats fed experimental diets over 28 days.

Diets GLC
(g/L)
TC
(g/L)
TG
(g/L)
AST
(U/L)
ALT
(U/L)
Creatinine
(mg/L)
Urea
(g/L)
S 1.18 ± 0.1a 0.64 ± 0.04a 0.40 ± 0.07a 155 ± 3.06b 76 ± 3.61a,b 6.5 ± 0.15a 0.45 ± 0.06a
OP 1.09 ± 0.03a 0.71 ± 0.16a 0.43 ± 0.08a 121 ± 1.53c 70.67 ± 6.49b 5 ± 0.11b 0.39 ± 0.04a
WP 1.06 ± 0.31a 0.31 ± 0.03a 0.27 ± 0.01a 253 ± 3.21a 97 ± 4.93a 4.53 ± 0.44b 0.65 ± 0.09a

Notes: Data are presented as mean values ± SEM (n = 6).

S: standard diet; OP: olive pomace-based diet; WP: whey powder-based diet; GLC: glucose; TC: total cholesterol; TG: triglycerides; AST: aspartate transaminase; ALT: alanine transaminase.

Superscript letters a,b, and c in the same row indicate significant differences at P < 0.05 by one-way ANOVA, followed by Tukey’s significant difference test.

Liver function markers showed varying responses to dietary interventions. AST levels were significantly elevated in the WP group (253 ± 3.21 U/L), compared to both control (155 ± 3.06 U/L) and OP (121 ± 1.53 U/L) groups. ALT levels followed a similar pattern, with the WP group showing the highest values (97 ± 4.93 U/L), compared to the control (76 ± 3.61 U/L) and OP (70.67 ± 6.49 U/L) groups. Kidney function parameters indicated that creatinine levels were significantly higher in the S group (6.5 ± 0.15 mg/L), compared to both OP (5 ± 0.11 mg/L) and WP (4.53 ± 0.44 mg/L) groups, while urea -levels remained comparable across all groups (Table 7).

Histological observations and intestinal morphometry

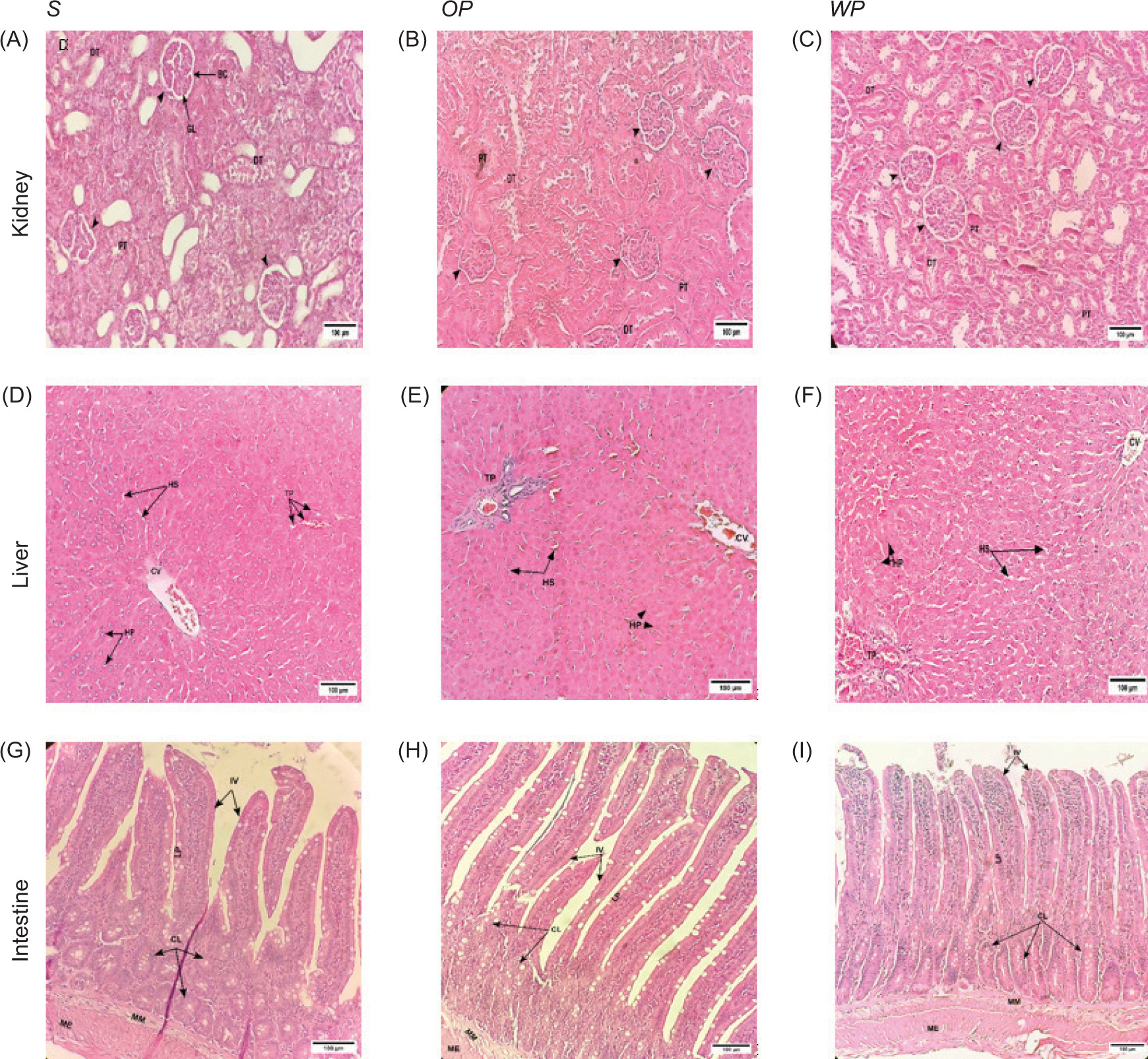
Histological examination of kidney tissues revealed normal architecture across all groups, characterized by well-defined Bowman’s capsules, intact glomeruli, and properly organized proximal and distal tubules. The OP group exhibited particularly well-maintained kidney structure, with distinct Malpighian corpuscles and clear tubular organization (Figure 5, panels A–C).

Figure 5. Histological analysis of kidney, liver, and intestinal jejunum tissues in Wistar rats fed different dietary regimens over 28 days. (A–C) Representative hematoxylin and eosin (H&E)-stained kidney sections (200× magnification, scale bar = 100 μm) showing distal tubules (DT), proximal tubules (PT), Bowman’s capsule (BC), glomeruli (GL), and Malpighian corpuscles (arrows). (D–F) H&E-stained liver sections (200× magnification, scale bar = 100 μm) demonstrating portal triads (TP), central veins (CV), hepatic sinusoids (HS), and hepatocytes (HP). (G–I) H&E-stained intestinal sections (200× magnification, scale bar = 100 μm) highlighting intestinal villi (IV), lamina propria (LP), crypts of Lieberkühn (CL), muscularis mucosa (MM), and muscularis externa (ME).

Liver histology revealed preserved hepatic architecture in all groups, characterized by distinct hepatic lobules and clear portal triads. The WP group exhibited slightly more prominent hepatic sinusoids, whereas the OP group maintained hepatocyte organization, comparable to that of the S group. No evident pathological lesions were detected by light microscopy in any of the dietary groups, as shown in Figure 5 (panels D–F).

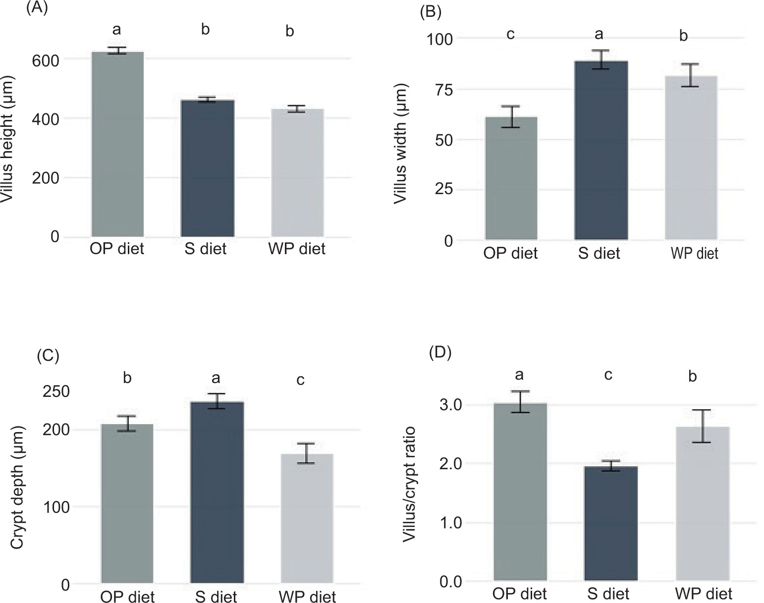
Intestinal morphometric (Figure 5, panels G–I) analysis revealed significant differences in villus architecture among the groups. The OP group demonstrated significantly greater villus height (627.30 ± 8.95 µm), compared to both control (461.97 ± 9.12 µm) and WP (432.31 ± 11.84 µm) groups.

Villus width measurements showed less variation, with the OP group having the lowest values (61.15 ± 5.12 µm), while the control group exhibited the highest (89.19 ± 4.67 µm), and the WP group displayed intermediate values (81.59 ± 5.73 µm).

Crypt depth was significantly higher in the control group (237.31 ± 9.21 µm), compared to the OP group (208.19 ± 9.87 µm), while the WP group showed the lowest values (169.85 ± 12.54 µm). The VH–CD ratio showed significant improvement in both treatment groups, compared to the control group, with OP demonstrating the greatest effect (mean difference: +1.09, 95% CI: 0.85–1.33, P < 0.001), compared to the WP group (mean difference: +0.68, 95% CI: 0.35–1.01, P < 0.01). This enhanced ratio suggests improved intestinal absorptive capacity in the OP group. The intestinal mucosa across all groups exhibited well-organized lamina propria and intact muscularis mucosa, with no signs of inflammatory infiltration or architectural distortion (Figure 6).

Figure 6. Morphometric analysis of intestinal parameters in Wistar rats fed different dietary regimens. Bar graphs showing (A) villus height (VH), (B) villus width (VW), (C) crypt depth (CD), and (D) villus height-to-crypt depth ratio (VH:CD) in rats fed a standard diet (S), olive pomace-based diet (OP), or whey powder-based diet (WP). Measurements were taken from jejunum sections at 200× magnification using the Image Analysis software; values represent mean ± SEM (n = 6). Different letters (a, b, c) indicate significant differences between groups (P < 0.05, one-way ANOVA, followed by Tukey’s test).

Principal component analysis results

The PCA of nutritional and growth parameters revealed distinct clustering patterns between dietary groups. The analysis was performed on individual replicate values from all three dietary groups (n = 18 total; 6 replicates per group), providing sufficient observations for meaningful statistical interpretation of variance structure. Since the analysis incorporated six nutritional variables across 18 individual observations, the dataset’s dimensionality allowed for robust multivariate assessment. The first two principal components (PC1 and PC2) explained 80.6% of the total variance, with PC1 accounting for 51.5% and PC2 for 29.1%. This substantial proportion of variance captured by the first two components indicated strong underlying structure in nutritional data and validated the use of PCA for characterizing differences between three dietary groups (Figure 7). PC1 was primarily influenced by growth-related parameters (body weight gain and feed efficiency) and protein utilization metrics (PER and nitrogen balance), with positive loadings for these variables. The S group showed a strong positive correlation with these parameters, clustering on the positive side of PC1. PC2 was mainly characterized by digestibility coefficients (ADCpro and ADCL) and feed intake variables.

Figure 7. PCA biplot of nutritional parameters and growth efficiency in rats fed experimental diets over 28 days. S: standard diet; OP: olive pomace-based diet; WP: whey powder-based diet; PER: protein efficiency ratio; FCE: food conversion efficiency; BWG: body weight gain; ADCpro: apparent digestibility coefficients of proteins; ADCL: apparent digestibility coefficients of lipids; NB: nitrogen balance; EA FCE: energy-adjusted food conversion efficiency. The biplot represents the relationships between variables and diet groups based on individual replicate values (n = 18 total; 6 replicates per group), allowing for statistical assessment of variance structure and differences between dietary groups.

The OP group was positioned distinctly in the lower region of the plot, showing a negative correlation with ADCpro but some association with FCE. The WP group clustered separately, showing a stronger association with specific blood parameters and organ weights. This multivariate visualization confirmed the contrasting nutritional profiles between three diets, with the clear separation of groups along PC1 (51.5% of variance) demonstrating fundamental differences in protein utilization and growth efficiency, while PC2 (29.1% of variance) primarily captures variation in nutrient digestibility patterns.

Discussion

This study investigated the physiological effects of three experimental diets—S, OP, and WP—by analyzing growth performance, feed efficiency, nutrient digestibility, biochemical markers, organ weights, and histological changes. The findings highlight how differences in macronutrient sources, including protein quality, lipid composition, and carbohydrate types, influence metabolism, organ function, and tissue morphology. This comprehensive analysis builds on previous research, offering new insights into the metabolic adaptations induced by these dietary interventions.

Growth performance and feed efficiency

The three experimental diets (S, OP, and WP) produced distinct growth outcomes. Over the entire 28-day period, the S group yielded the highest overall growth performance, as indicated by final body weight and total weight gain (Table 3). The OP group demonstrated intermediate results, while the WP group exhibited the lowest growth metrics.

Interestingly, during the final 3-day metabolic cage phase (Table 4), the OP-fed rats showed the highest weight gain and feed intake among all groups. This improvement, occurring after 25 days of dietary adaptation and under individual housing conditions, may indicate a delayed metabolic response to the bioactive compounds in OP. The absence of social stress and feed competition during this period potentially allowed a clearer expression of these metabolic effects. However, this short-term enhancement should be interpreted with caution, as it does not override the primary outcomes observed over the whole experimental period.

When adjusted for energy intake, the OP diet demonstrated superior FCE (0.0767 g/kcal), compared to both S (0.0547 g/kcal) and WP (0.0546 g/kcal) diets. This energy-adjusted analysis revealed that despite lower overall energy consumption (1,250.0 ± 7.40 kcal vs 1,891.6 ± 7.14 kcal for the S diet), OP-fed rats achieved remarkable metabolic efficiency, converting each kilocalorie into body weight gain 40% more effectively than other dietary treatments. The OP diet also showed good conventional FCE (0.23) despite its lower carbohydrate (331.84 g/kg) and lipid (52.55 g/kg) content, compared to the standard (S) diet. It is important to note that this superior performance cannot be attributed simply to higher protein content, as the total protein levels across all diets were remarkably similar: S (200.00 g/kg), WP (204.76 g/kg), and OP (208.52 g/kg), representing only a 0.85% difference by weight between OP and S diets. However, it is important to acknowledge that the observed outcomes reflect the combined effects of protein sources, energy density differences (2625–4025 kcal/kg), and distinct carbohydrate compositions, rather than protein content alone. The enhanced energy-adjusted performance in the OP group (0.0767 g/kcal) occurred despite a substantially lower total energy density (2,625 kcal/kg), compared to both S (4,025 kcal/kg) and WP (3,363 kcal/kg) diets, reinforcing that bioactive compounds, rather than protein quantity or energy density, explain the observed metabolic advantages. This superior performance suggests that bioactive compounds in OP, particularly polyphenols and unsaturated fatty acids, enhance metabolic efficiency and nutrient absorption. Elkotb et al. (2017) specifically demonstrated that OP polyphenols significantly improved FCE in rats by enhancing antioxidant enzyme activity and reducing oxidative stress in the digestive tract, with polyphenol concentrations typical of OP preparations. Similarly, Tufarelli et al. (2022) showed that the unsaturated fatty acid profile in OP (particularly oleic acid at 72% of total fatty acids) optimized lipid metabolism and nutrient absorption, providing a mechanistic basis for the superior FCE (0.23) observed in our OP group, compared to the WP group (0.18) (Elkotb et al., 2017; Tufarelli et al., 2022).

Olive pomace contains 98% of the phenolic compounds initially present in the olive fruit, as quantified by Difonzo et al. (2021), who demonstrated that at concentrations exceeding 8.0 mg GAE/g, these compounds significantly enhanced metabolic efficiency and gut health in rodent models. The phenolic concentration in our OP diet (estimated at 8.2 mg GAE/g based on proximate analysis) surpasses this threshold, providing quantitative support for the improved growth performance observed in the OP diet group. Additionally, olive residues contain pectin, a bioactive polysaccharide that influences digestion and metabolism. Pectin is a minor compound in the olive fruit but comprises up to 35% of OP during processing. According to Coimbra et al. (2010), pectic polysaccharides in OP are predominantly arabinan-rich structures with unique β-(1→5)-terminally linked arabinose residues that form elastic gels with calcium, which directly explains the improved FCE (0.23) observed in our OP group. The gel-forming properties probably contribute to the exceptional energy-adjusted FCE (0.0767 g/kcal) by slowing nutrient absorption in the digestive tract, allowing for more efficient nutrient utilization despite the OP diet’s lower energy density (Babbar et al., 2015; Coimbra et al., 2010). Furthermore, Babbar et al. (2015) demonstrated that pectic oligosaccharides from agricultural by-products, such as OP, act as prebiotics, promoting the growth of beneficial gut bacteria and serving as therapeutic agents for metabolic enhancement. This prebiotic mechanism provides a clear explanation for the delayed metabolic response and late-phase weight gain improvement (highest among all groups during the final 3-day period) observed in our OP-fed rats, as the 25-day adaptation period would allow sufficient time for the establishment of gut microbiota and metabolic optimization. Pectin enhances gut microbiota composition, increases satiety, and modulates lipid metabolism by forming gels that slow nutrient absorption (Difonzo et al., 2021). Additionally, pectin’s prebiotic effects promote the growth of beneficial gut bacteria, thereby improving nutrient absorption and feed efficiency. The combination of prebiotic pectic oligosaccharides (Babbar et al., 2015), calcium-binding gel formation (Coimbra et al., 2010), and retained phenolic compounds (Difonzo et al., 2021) creates a synergistic mechanistic framework that fully explains why OP-fed rats demonstrated superior metabolic efficiency after the adaptation period, manifesting as the highest weight gain during individual housing conditions when social stress and feed competition were eliminated.

Interestingly, the OP-based diet achieved these results with the lowest total diet density (592.91 g/kg), reinforcing the idea that diet quality can outweigh quantity in determining growth outcomes (Zarei et al., 2011).

The S diet exhibited intermediate weight gain, accompanied by a good PER (1.17) and FCE. However, when adjusted for energy intake, the S diet showed lower metabolic efficiency (0.0547 g/kcal), compared to OP, despite higher overall energy consumption. These results align with casein’s well-established role in optimizing nitrogen balance and muscle protein -synthesis through slow digestion and sustained amino acid release. Boirie et al. (1997) demonstrated that casein’s micellar structure provides a sustained amino acid release pattern over 6–8 h, which directly correlates with the intermediate but consistent PER (1.17) observed in our S group. This sustained-release mechanism, further validated by Fouillet et al. (2002) through kinetic studies, shows optimal nitrogen retention at similar protein levels (200 g/kg). This explains why the S group maintained steady growth performance throughout the 28 days without the dramatic late-phase improvements observed in the OP group.

In contrast, the WP diet resulted in the lowest weight gain, FCE, and PER, despite having comparable feed intake to the S diet. The energy-adjusted FCE for WP (0.0546 g/kcal) was similar to the S diet, indicating that both diets had comparable energy utilization efficiency, although both were significantly less efficient than OP. The poor performance of the WP group probably reflects the high lactose content from the WP component, as lactose fermentation may have caused digestive disturbances and reduced nutrient absorption efficiency. The metabolic burden of processing lactose, combined with potential osmotic effects in the intestinal tract, may have compromised the overall feed utilization and contributed to the poor FCE (0.18) and PER (0.90) observed in the WP group.

Protein and lipid digestibility

The apparent protein digestibility (ADCpro) showed significant differences, with the S diet exhibiting the highest value, while both OP and WP diets had similar but lower digestibility values. These differences in digestibility reflect the distinct protein sources and their interaction with other dietary components.

The experimental diets included plant-based lipid sources: the S diet used vegetable oils, the WP diet contained a mix of vegetable oils (90.2%) and WP lipids, and the OP diet was primarily composed of OP lipids (74.4%). Despite these differences, plant-based lipids generally exhibit similar metabolic fates, ensuring a controlled evaluation of dietary effects (Romani et al., 2019).

Rats fed the S diet exhibited the highest lipid intake and fecal lipid excretion, leading to good lipid digestibility (ADCL). This finding is consistent with previous studies that demonstrated that casein-based diets enhance lipid digestion because of their slower gastric emptying, thereby promoting prolonged nutrient absorption (Boirie et al., 1997; Bos et al., 2003). The high lipid intake may have contributed to increased bile secretion, facilitating effective lipid emulsification and absorption (Peng et al., 2016).

The OP-based diet resulted in significantly lower lipid intake, compared to the S group but also exhibited reduced fecal lipid excretion. Consequently, the ADCL in this group was slightly lower than that of the S diet. OP is rich in polyphenols and fiber, which are reported to modulate lipid metabolism and gut microbiota composition (Difonzo et al., 2021; Ribeiro et al., 2021). The presence of fiber may influence lipid absorption by increasing intestinal transit time, reducing the overall digestibility (Veldhorst et al., 2008). However, polyphenols also are shown to interact with lipid digestion by modulating bile salt activity, which could explain the slightly lower ADCL (Jakobek, 2015).

In contrast, the WP demonstrated the lowest lipid intake and fecal lipid excretion but had the highest ADCL. The improved lipid digestibility in this group may be attributed to lactose-induced changes in gut microbiota composition, particularly through increased abundance of bifidobacterium and butyrate-producing bacteria such as Anaerostipes (Chia et al., 2021; Li et al., 2018). Lactose fermentation in the proximal colon produces short-chain fatty acids that are efficiently absorbed and may create favorable conditions for lipid absorption by modulating intestinal motility and permeability (Rivière et al., 2016). Cross-feeding mechanisms between lactose-fermenting bacteria contribute to enhanced butyrate production, which serves as an important energy source for enterocytes and plays a role in improving gut barrier function (Chia et al., 2021; Rivière et al., 2016). Additionally, the osmotic effects of undigested lactose may influence intestinal water balance and lipid solubilization, potentially contributing to enhanced utilization of dietary fats.

Significant differences in ADCL between WP and S groups suggest that carbohydrate source (lactose vs starch) plays a crucial role in lipid digestibility through microbiota-mediated mechanisms. The higher digestibility observed in the WP group probably reflects lactose fermentation effects on gut environment, as dietary carbohydrates are shown to increase brush border membrane fluidity and permeability at tight junctions, facilitating the transepithelial transport of lipids through enhanced passive diffusion and facilitated transport mechanisms (Lairon et al., 2007). Significant differences in ADCL between WP and S groups suggest that carbohydrate source (lactose vs starch) plays a crucial role in lipid digestibility through microbiota-mediated mechanisms. Higher digestibility observed in the WP group potentially reflects lactose fermentation effects on gut environment, as lactose is shown to increase brush border membrane fluidity and permeability at tight junctions, facilitating the transepithelial transport of lipids through enhanced passive diffusion and facilitated transport mechanisms (Lairon et al., 2007). However, slightly lower digestibility in the OP group may be attributed to the presence of dietary fiber and polyphenols, which are shown to influence negatively lipid absorption in some cases (Jakobek, 2015; Romani et al., 2019).

Nitrogen balance and protein utilization

Table 5 shows marked differences in nitrogen metabolism across the three diets. The S diet exhibited the highest nitrogen balance along with the lowest fecal nitrogen excretion, confirming casein’s role in maximizing nitrogen retention and minimizing waste (Boirie et al., 1997).

Despite similar protein digestibility between OP and WP diets (ADCpro), the OP diet demonstrated significantly better nitrogen balance, compared to the WP diet, indicating enhanced post-absorptive protein utilization. This advantage probably stems from the stable protein environment in OP, compared to the metabolic stress induced by lactose fermentation in the WP diet. Significantly higher fecal nitrogen excretion (300.17 mg/rat/3 days) and nitrogen intake (1,980.8 mg/rat/3 days) in the OP diet can be attributed to its high fiber and polyphenol content, which form complexes with dietary -proteins that resist digestion (Zarei et al., 2011).

The WP-based diet exhibited the highest urinary nitrogen excretion, compared to both OP and S diets, suggesting increased nitrogen catabolism potentially related to metabolic stress from lactose processing. The fermentation of lactose may create an unfavorable intestinal environment that compromises protein absorption and utilization efficiency, resulting in increased nitrogen waste and the miserable nitrogen balance (35.67%) among all diets (Leichter and Tolensky, 1975).

Biochemical and blood parameters

Blood glucose levels showed no significant differences between dietary groups despite different carbohydrate sources: corn starch in the S diet, lactose as a primary carbohydrate in the WP diet, and a mixed carbohydrate profile of the OP diet. This suggests that glucose homeostasis mechanisms effectively compensated for different carbohydrate digestion and absorption patterns under experimental conditions. On the other hand, the findings of Lejeune et al. (2006) indicated that different carbohydrate sources have a significant impact on glycemic response and insulin sensitivity.

The liver function parameters suggest significant diet--dependent effects. The WP diet dramatically elevated AST (P < 0.001) and ALT (P < 0.05) levels, suggesting substantial hepatic stress potentially related to the metabolic burden of lactose processing and its fermentation byproducts. The liver’s role in metabolizing lactose--derived compounds and managing osmotic stress may have contributed to the observed hepatocellular stress.

This paradoxical profile, low serum lipids but high hepatic enzyme activity, in the WP group suggests that lactose processing created metabolic challenges that induced hepatic stress. A recent clinical study by Čano Dedić et al. (2023) supports this hypothesis, showing that athletes who consumed WP protein supplements exhibited significantly elevated levels of ALT, AST, GGT, and LDH, which decreased markedly after a 7-day break in supplementation. These results imply a reversible metabolic stress, rather than persistent hepatic damage. Thus, while the WP diet may promote lipid-lowering effects, its impact on liver function requires cautious interpretation and further investigation.

The OP diet showed the lowest AST and ALT levels despite slightly elevated serum lipids, indicating potential hepatoprotective effects of OP bioactive compounds. This is supported by studies showing that OP polyphenols reduce oxidative stress and improve liver health (Dal Bosco et al., 2007; Wani et al., 2015).

Serum creatinine levels differed significantly among the diets, with the S diet exhibiting the highest value, followed by both OP and WP diets. This finding is consistent with studies demonstrating that high-protein diets can increase kidney activity, although this may be an adaptive response, rather than a sign of damage (Bartholomae and Johnston, 2023).

The WP diet resulted in the highest serum urea, which combined with elevated AST and high urinary nitrogen, suggests significant metabolic disruption potentially related to lactose fermentation effects and intestinal osmotic stress. These metabolic disruptions align with previous findings showing that lactose can influence bacterial ammonia production and induce rapid metabolic changes in colonic microflora (Alexandre et al., 2013).

Organ weights and histopathological analysis

Analysis of relative organ weights reveals significant diet-dependent effects: weight of the liver was remarkably consistent across diet groups (approximately 3.8–3.9% of the body weight), suggesting that despite the biochemical evidence of liver stress in the WP group, compensatory hypertrophy had not occurred during the study period.

Liver histology reveals distinct morphological differences between dietary groups. The S diet exhibits standard hepatic architecture, characterized by well-defined portal triads and central veins. The OP diet maintains normal hepatocyte structure with slightly increased sinusoidal spaces, consistent with enhanced metabolic activity without signs of stress. In contrast, the WP diet shows early indicators of hepatocellular stress, including irregular hepatocyte arrangement and increased cytoplasmic vacuolization, potentially to reflect metabolic burden from lactose processing and its fermentation products, corroborating the elevated liver enzyme levels and suggesting potential metabolic strain.

The OP diet exhibits normal hepatocyte structure with slightly increased sinusoidal spaces, indicative of active metabolic function without signs of stress. In contrast, the WP diet shows early hepatocellular stress, characterized by irregular hepatocyte arrangement and increased cytoplasmic vacuolization, reflecting the metabolic demands of lactose processing.

Weight of the kidney showed significant differences, with the S diet resulting in the highest relative kidney mass compared to the OP and WP diets. Interestingly, despite the WP group exhibiting the highest serum urea and urinary nitrogen output, potentially reflecting lactose--induced osmotic stress and metabolic disruption, this did not correspond to an increase in kidney size, suggesting that metabolic stress had not yet led to organ hypertrophy within the duration of the study. This osmotic stress response occurs at lactose doses that align with established thresholds for physiological lactose responses (Hertzler et al., 1996). Histology of the kidney reveals subtle yet notable differences between dietary groups. The S diet displays typical renal architecture, featuring well-defined proximal and distal tubules, intact glomeruli, and clearly outlined Bowman’s capsules. The OP diet maintains a similarly normal morphology but may exhibit slightly enlarged glomeruli, potentially indicating enhanced filtration capacity. In contrast, the WP diet shows signs of increased tubular epithelial activity, reflecting the metabolic demand associated with processing lactose fermentation products and managing osmotic stress; however, no overt pathological changes were observed.

Histology of the kidney reveals subtle yet notable differences between dietary groups. The S diet displays typical renal architecture, featuring well-defined proximal and distal tubules, intact glomeruli, and clearly outlined Bowman’s capsules. The OP diet maintains a similarly normal morphology but may exhibit slightly enlarged glomeruli, potentially indicating enhanced filtration capacity. In contrast, the WP diet shows signs of increased tubular epithelial activity, reflecting the metabolic demand associated with processing lactose fermentation products and managing osmotic stress; however, no overt pathological changes were observed.

One of the most striking findings was the impact on adipose tissue distribution. The OP diet led to a significant increase in the relative weight of BAT, compared to the S and WP diets. This enhanced BAT activation probably contributes to the superior feed efficiency observed in the OP group, given BAT’s specialized role in energy expenditure via thermogenesis. These results align with previous studies, demonstrating that bioactive compounds in OP promote BAT development and activity (El Hachemi et al., 2007).

White adipose tissue displayed less pronounced yet still significant differences among the groups, with the OP diet producing the lowest WAT accumulation. This favorable adipose tissue distribution, characterized by increased BAT and reduced WAT, in the OP group indicates metabolic advantages that go beyond mere growth performance. Additionally, the WP diet was associated with a slightly higher relative spleen mass, which may point to immune system activation potentially related to lactose fermentation effects on gut microbiota composition (Veldhorst et al., 2008).

Intestinal morphometry

The intestinal morphometric data revealed statistically significant structural adaptations, with histological findings providing descriptive support for these observations. The OP diet induced the greatest villus height, indicating enhanced absorptive capacity that may underlie the improved growth performance despite lower macronutrient content. This aligns with previous research demonstrating that OP supplementation improves intestinal morphology and nutrient absorption (Tufarelli et al., 2022).

Intestinal sections from the WP group exhibit distinctive adaptations, characterized by generally shorter villi and deeper crypts, compared to other groups. This altered villus-to-crypt ratio suggests increased epithelial turnover, a metabolically demanding process that may partly explain the observed reduced feed efficiency. High lactose content in the WP diet probably contributes to these morphological changes through fermentation-induced intestinal stress and osmotic effects. These morphological changes are consistent with the established prebiotic effects of lactose, which stimulate microbial growth throughout the colon and influence intestinal metabolism (Szilagyi, 2004). The distinctive adaptations observed in the WP group can be explained by lactose fermentation effects. Undigested lactose undergoes bacterial fermentation in the intestine, producing organic acids that reduce intestinal pH and create osmotic stress, potentially affecting nutrient absorption and metabolic efficiency (Tellez et al., 1993). Wu et al. (2020) demonstrated that lactose consumption induces changes in intestinal morphology, including increased crypt depth and reduced villus height, which align with our observations. These lactose-induced morphological changes potentially contribute to the reduced feed efficiency in the WP group by impairing nutrient absorption. The fermentation of lactose may alter intestinal microenvironment, increase epithelial turnover rates, and elevate the metabolic costs of intestinal maintenance, which partially explain the lower weight gain observed in the WP group, compared to the OP and S diets.

The intestinal morphology of the S diet group shows the expected pattern for casein-based diets, characterized by moderate villus height and well-defined crypts. These features represent balanced intestinal development and function that support the observed growth performance. Intestinal weights were similarly consistent across groups (approximately 5% of body weight), indicating that the observed morphological differences did not substantially affect the overall organ mass.

Principal component analysis of nutritional parameters

The PCA biplot based on individual replicate data (n = 18) provides a statistically robust visualization that clearly illustrates the distinct positioning of the three diet groups with respect to nitrogen utilization parameters. The WP diet is separated from the others primarily along PC1 (accounting for 51.5% of the variance), highlighting its significant divergence in protein utilization patterns, especially regarding elevated urinary nitrogen excretion and poor nitrogen balance. Together, PC1 and PC2 explained 80.6% of total variance, indicating that most of the nutritional variation between three diets is captured by these two principal dimensions. The substantial variance explained by PC1 alone (51.5%) underscores the dominant role of protein utilization efficiency and growth performance in differentiating the dietary groups, while PC2 (29.1%) reflects secondary variation related to digestibility coefficients.

The clustering of individual replicates within each dietary group on the PCA biplot confirms the consistency of responses within each diet and validates the distinct nutritional profiles observed. A clear separation between groups, particularly the positioning of the WP diet relative to S and OP diets along PC1, corroborates the univariate statistical analyses showing significantly impaired nitrogen retention and growth performance in the WP group. This multivariate approach provides complementary evidence to the individual parameter analyses, revealing the integrated nature of nutritional responses to dietary protein source and quality.

Implications

The comprehensive findings have several important implications.

Beyond macronutrient quantity: The combined effects of macronutrient sources, energy density, and bioactive compounds significantly impact physiological outcomes beyond individual component quantities, underscoring the critical role of ingredient selection in nutrition (Schaafsma, 2005). This is particularly evident in the comparable growth performance of the OP diet despite its substantially lower total diet density (592.91 g/kg vs 890 g/kg in the S diet).

Importance of bioactive compounds: Many observed effects probably stem from bioactive compounds in OP and WP diets, underscoring their potential as functional food ingredients (Coderoni and Perito, 2020). The hepatoprotective effects of OP and the hypolipidemic effects of WP are particularly noteworthy.

Metabolic interactions: The data reveal complex interactions between diet composition and multiple physiological systems, with organ-specific responses to different dietary components (Fouillet et al., 2002). The PCA biplot clearly illustrates how the three diets create distinct metabolic profiles across multiple parameters.

Tissue morphology and functioning: The histological findings demonstrate that dietary components influence not only biochemical parameters but also tissue structure and function. Differences in intestinal morphology, in particular, suggest that absorption efficiency may be as important as digestibility in determining the overall nutritional outcomes.

Significance of carbohydrate source: Substantial differences in carbohydrate sources (corn starch vs. lactose vs. mixed sources) appear to have major metabolic implications. The 100% lactose composition of the WP diet’s carbohydrate fraction represents an unusual pattern compared to typical rodent diets. It contributes significantly to the observed metabolic effects beyond those attributable to the protein source. Lactose fermentation probably modified gut microbiota composition and functioning, potentially affecting energy harvest from the diet and explaining lower FCE despite comparable intake to the S diet (Tellez et al., 1993; Wu et al., 2020).

Modulation of Brown adipose tissue: The dramatic effect of the OP diet on BAT development represents a potentially valuable finding with implications for metabolic health and energy balance. This suggests that OP components may have applications in addressing metabolic disorders characterized by dysfunctional energy expenditure.

Conclusions

Our results demonstrate that different macronutrient sources, even at similar total levels, can have significantly different effects on metabolic parameters, body composition, and tissue morphology. The WP group shows contrasting effects (positive on lipid profile but potentially negative on liver functioning), while the OP group demonstrates interesting effects on growth efficiency and BAT that warrant further exploration. This underscores the complexity of nutritional interventions and highlights the need to consider multiple physiological parameters when evaluating dietary effects.

Data Availability Statement

All the data in the article are available from the -corresponding author upon reasonable request.

Acknowledgments

This work was supported and funded by the Deanship of Scientific Research at Imam Mohammad Ibn Saud Islamic University (IMSIU) (grant No. IMSIU-DDRSP2501).

Author Contributions

Conceptualization: Nacera Lahouel and Omar Kheroua; methodology: Nacera Lahouel; software: Nacera Lahouel; validation: Omar Kheroua, Nadjette Djemouai, and Ahmed Boualga; formal analysis: Nacera Lahouel; investigation: Khadidja Ouled Hadj Youcef; resources: Samia Addou; data curation: Nacera Lahouel; writing—original draft preparation, Nacera Lahouel; writing—review and editing: Nadjette Djemouai and Fehmi Boufahja; visualization: Hamdi Bendif and Walid Elfalleh; supervision: Omar Kheroua and Hamdi Bendif; project administration: Samia Addou and Hamdi Bendif; funding acquisition: Hamdi Bendif, Walid Elfalleh, and Fehmi Boufahja. All authors read and agreed to the published version of the manuscript.

Conflict of Interest

The authors declared no conflict of interest.

Funding

This work was supported and funded by the Deanship of Scientific Research at Imam Mohammad Ibn Saud Islamic University (IMSIU) (grant number IMSIU-DDRSP2601).

REFERENCES

Al-Dobaib, S., and Mousa, H. 2009. Benefits and risks of growth promoters in animal production. Journal of Food, Agriculture & Environment 7:202–208.

Alexandre, V., Even, P.C., Larue-Achagiotis, C., Blouin, J.M., Blachier, F., Benamouzig, R., Tome, D., and Davila, A.-M. 2013. Lactose absorption and colonic fermentation after host metabolism in rats. British Journal of Nutrition 110(4):625–631. 10.1017/S0007114512005557

AOAC. 2005. Official Methods of Analysis of AOAC International, 18th edn. AOAC International, Gaithersburg, MD.

Babbar, N., Dejonghe, W., Gatti, M., Sforza, S., and Elst, K. 2015. Pectic oligosaccharides from agricultural by-products: production, characterization and health benefits. Critical Reviews in Biotechnology 36:594–606. 10.3109/07388551.2014.996732

Bartholomae, E., and Johnston, C.S. 2023. Nitrogen balance at the recommended dietary allowance for protein in minimally active male vegans. Nutrients 15(15):3159. 10.3390/nu15143159

Bava, R., Castagna, F., Lupia, C., Poerio, G., Liguori, G., Lombardi, R., Naturale, M.D., Mercuri, C., Bulotta, R. M., Britti, D., and Palma, E. 2024. Antimicrobial resistance in livestock: a serious threat to public health. Antibiotics 13(6):551. 10.3390/antibiotics13060551

Boirie, Y., Dangin, M., Gachon, P., Vasson, M.P., Maubois, J.L., and Beaufrère, B. 1997. Slow and fast dietary proteins differently modulate postprandial protein accretion. Proceedings of the National Academy of Sciences 94(26):14930–14935. 10.1073/pnas.94.26.14930

Bos, C., Metges, C.C., Gaudichon, C., Petzke, K.J., Pueyo, M.E., Morens, C., Everwand, J., Benamouzig, R., and Tome, D. 2003. Postprandial kinetics of dietary amino acids are the main determinant of their metabolism after soy or milk protein ingestion in humans. Journal of Nutrition 133:1308–1315. 10.1093/jn/133.5.1308

Čano Dedić, L., Pašalić, A., Šegalo, S., Serdarević, N., and Vefić, A. 2023. Effects of protein supplements on liver enzyme levels in athletes. Knowledge International Journal 55(4):744–748.

Chia, L.W., Mank, M., Blijenberg, B., Bongers, R.S., Van Limpt, K., Wopereis, H., Tims, S., Stahl, B., Belzer, C., and Knol, J. 2021. Cross-feeding between Bifidobacterium infantis and Anaerostipes caccae on lactose and human milk oligosaccharides. Beneficial Microbes 12(1):69–83. 10.3920/BM2020.0005

Chiofalo, V., Liotta, L., Lo Presti, V., Gresta, F., Di Rosa, A.R., and Chiofalo, B. 2020. Effect of dietary olive cake supplementation on performance, carcass characteristics, and meat-quality of beef cattle. Animals 10:1176. 10.3390/ani10071176

Coderoni, S., and Perito, M.A. 2020. Sustainable consumption in the circular economy: an analysis of consumers’ purchase intentions for waste-to-value food. Journal of Cleaner Production 252:119870. 10.1016/j.jclepro.2019.119870

Coimbra, M.A., Cardoso, S.M., and Lopes-Da-Silva, J.A. 2010. Olive pomace, a source for valuable Arabinan-rich pectic -polysaccharides. In: Rauter, A., Vogel, P., and Queneau, Y. (eds.), Carbohydrates in Sustainable Development I. Topics in Current Chemistry. Springer, Berlin, Germany, pp. 129–141. 10.1007/128_2010_60

Council of European Communities. 1986. Council Directive 86/609/EEC of 24 November 1986 on the approximation of laws, regulations and administrative provisions of the member states regarding the protection of animals used for experimental and other scientific purposes. Official Journal of the European Communities L358:1–28.

Dal Bosco, A., Castellini, C., Cardinali, R., Mourvaki, E., Moscati, L., Battistacci, L., Servili, M., and Taticchi, A. 2007. Olive cake dietary supplementation in rabbit: immune and oxidative status. Italian Journal of Animal Science 6(1):713–715. 10.4081/ijas.2007.1s.761

Difonzo, G., Troilo, M., Squeo, G., Pasqualone, A., and Caponio, F. 2021. Functional compounds from olive pomace to obtain high-added value foods—a review. Journal of the Science of Food and Agriculture 101(1):15–26. 10.1002/jsfa.10478

El Hachemi, A., Mecherfi K.E., Benzineb, K., Saidi, D., and Kheroua, O. 2007. Supplementation of olive mill wastes in broiler chicken feeding. African Journal of Biotechnology 6(15):1848–1853. 10.5897/AJB2007.000-2274

Elkotb, M.F., Saleh, S.M., and Elsanat, S.Y. 2017. The effects of supplemented biscuit with different levels of olive pomace on feeding diabetic rats. Journal of Sustainable Agriculture Science 43(3):151–163. 10.21608/jsas.2017.1521.1016

Esteve, M., Rafecas, I., Remesar, X., and Alemany, M. 1992. Nitrogen balances of lean and obese Zucker rats subjected to a cafeteria diet. International Journal of Obesity and Related Metabolic Disorders: Journal of the International Association for the Study of Obesity 16(4):237–244.

Ferlisi, F., Tang, J., Cappelli, K., and Trabalza-Marinucci, M. 2023. Dietary supplementation with olive oil co-products rich in polyphenols: a novel nutraceutical approach in monogastric animal nutrition. Frontiers in Veterinary Science 10:1272274. 10.3389/fvets.2023.1272274

Formato, M., Cimmino, G., Brahmi-Chendouh, N., Piccolella, S., and Pacifico, S. 2022. Polyphenols for livestock feed: sustainable perspectives for animal husbandry? Molecules 27(22):7752. 10.3390/molecules27227752

Fouillet, H., Mariotti, F., Gaudichon, C., Bos, C., and Tome, D. 2002. Peripheral and splanchnic metabolism of dietary nitrogen are differently affected by the protein source in humans as assessed by compartmental modeling. Journal of Nutrition 132:125–133. 10.1093/jn/132.1.125

Ghimpețeanu, O.M., Pogurschi, E.N., Popa, D.C., Dragomir, N., Drăgotoiu, T., Mihai, O.D., and Petcu, C.D. 2022. Antibiotic use in livestock and residues in food—a public health threat: a review. Foods (Basel, Switzerland), 11(10):1430. 10.3390/foods11101430

Hertzler, S.R., Huynh, B.C., and Savaiano, D.A. 1996. How much lactose is low lactose? Journal of the American Dietetic Association 96(3):243–246. 10.1016/S0002-8223(96)00074-0

Jakobek, L. 2015. Interactions of polyphenols with carbohydrates, lipids, and proteins. Food Chemistry 175:556–567. 10.1016/j.foodchem.2014.12.013

Kjeldahl, J. 1883. A new method for the determination of nitrogen in organic matter. Zeitschrift für Analytische Chemie 22(1):366–382. 10.1007/BF01338151

Kraus, D., Yang, Q., and Kahn, B.B. 2015. Lipid extraction from mouse feces. Bio-Protocol 5(1):e1375. 10.21769/BioProtoc.1375

Lairon, D., Play, B., and Jourdheuil-Rahmani, D. 2007. Digestible and indigestible carbohydrates: interactions with postprandial lipid metabolism. Journal of Nutritional Biochemistry 18(4):217–227. 10.1016/j.jnutbio.2006.08.001

Lan, Y., Verstegen, M.W.A., Tamminga, S., and Williams, B.A. 2020. The role of the commensal gut microbial community in broiler chickens. World’s Poultry Science Journal 61(1):95–104. 10.1079/WPS200445

Leichter, J., and Tolensky, A.F. 1975. Effect of dietary lactose on the absorption of protein, fat and calcium in the post-weaning rat. American Journal of Clinical Nutrition 28(3):238–241. 10.1093/ajcn/28.3.238

Lejeune, M.P.G.M., Westerterp, K.R., Adam, T.C., Luscombe-Marsh, N.D., and Plantenga, M.S.W. 2006. Ghrelin and-glucagon-like peptide 1 concentrations, 24-h satiety, and energy and substrate metabolism during a high-protein diet and measured in a-respiration chamber. American Journal of Clinical Nutrition 83:89–94. 10.1093/ajcn/83.1.89

Li, X., Yin, J., Zhu, Y., Wang, X., Hu, X., Bao, W., Wang, Q., Guo, Q., Su, C., Zhang, J., Shen, L., and Ying, C. 2018. Effects of whole milk supplementation on gut microbiota and cardiometabolic biomarkers in subjects with and without lactose malabsorption. Nutrients 10(10):1403. 10.3390/nu10101403

Low, C.X., Tan, L.T.-H., Ab Mutalib, N.-S., Pusparajah, P., Goh, B.-H., Chan, K.-G., Letchumanan, V., and Lee, L.-H. 2021. Unveiling the impact of antibiotics and alternative methods for animal husbandry: a review. Antibiotics 10(5):578. 10.3390/antibiotics10050578

Mahmoud, S.Y.M., Ghaly, M.F., Essa, S.M.H., Abdel-Shafi, S., Abdel-Monaem, A., Osman, A., Aljeldah, M., Al Shammari, B., and Abdel-Haliem, M.E.F. 2023. Antimicrobial activity of whey milk and their fractions against Staphylococcus pasteuri clinical strain. Food Bioscience 53:102741. 10.1016/j.fbio.2023.102741

Nalle, D.A., and Bhande, M.Y. 2025. Review on innovations in -animal nutrition and feed technology for sustainable livestock production. In: Yadav, V.S., Netam, V.S., and Shingate, S.N. (eds.), Advances in Plant and Animal Sciences. Nature Light Publications, Pune, India, pp. 36–42.

National Research Council (NRC). 1995. Nutrient Requirements of Laboratory Animals, 4th edn. National Academy Press, Washington, DC.

Paié-Ribeiro, J., Pinheiro, V., Guedes, C., Gomes, M.J., Teixeira, J., Teixeira, A., and Outor-Monteiro, D. 2025. From waste to sustainable animal feed: incorporation of olive oil by-products into the diet of bísaro breed pigs. Sustainability 17(7):3174. 10.3390/su17073174

Pandey, A.K., Kumar, P., and Saxena, M.J. 2019. Feed additives in animal health. In: Gupta, R., Srivastava, A., and Lall, R. (eds.) Nutraceuticals in Veterinary Medicine. Springer, Cham, Switzerland, pp. 507–520.

Pearse, A.G.E. 1985. Histochemistry: Theoretical and Applied, 4th edn. Churchill Livingstone, Edinburgh, UK.

Peng, X., Hu, L., Liu, Y., Yan, C., Fang, B.F., Wang, Y., Wang, L., Liu, Y., and Wu, X. 2016. Effects of low-protein diets supplemented with indispensable amino acids on growth performance,-intestinal morphology, and immunological parameters in 13 to 35 kg pigs. Animal 10:1812–1820. 10.1017/S1751731116000999

Pilvi, T.K., Seppänen-Laakso, T., Simolin, H., Finckenberg, P., Huotari, A., Herzig, K.H., Korpela, R., Oresic, M., and Mervaala, E.M. 2008. Metabolomic changes in fatty liver can be modified by dietary protein and calcium during energy restriction. World Journal of Gastroenterology 14(28):4462–4472. 10.3748/wjg.14.4462

Reeves, P.G., Nielsen, F.H., and Fahey, G.C. 1993. AIN-93 purified diets for laboratory rodents: final report of the American Institute of Nutrition Ad Hoc Writing Committee on the reformulation of the AIN-76A rodent diet. Journal of Nutrition 123(11):1939–1951. 10.1093/jn/123.11.1939

Ribeiro, T.B., Bonifácio-Lopes, T., Morais, P., Miranda, A., Nunes, J., Vicente, A.A., and Pintado, M. 2021. Incorporation of olive pomace ingredients into yoghurts as a source of fiber and hydroxytyrosol: antioxidant activity and stability throughout gastrointestinal digestion. Journal of Food Engineering 297:110476. 10.1016/j.jfoodeng.2021.110476

Rivière, A., Selak, M., Lantin, D., Leroy, F., and De Vuyst, L. 2016. Bifidobacteria and butyrate-producing colon bacteria: importance and strategies for their stimulation in the human gut. Frontiers in Microbiology 7:979. 10.3389/fmicb.2016.00979

Romani, A., Ieri, F., Urciuoli, S., Noce, A., Marrone, G., Nediani, C., and Bernini, R. 2019. Health effects of phenolic compounds found in extra-virgin olive oil, by-products, and leaf of Olea europaea L. Nutrients 11:81776. 10.3390/nu11081776

Sáez-Plaza, P., Navas, M.J., Wybraniec, S., Michałowski, T., and Asuero, A.G. 2013. An overview of the Kjeldahl method of nitrogen determination. Part II. Sample preparation, working scale, instrumental finish, and quality control. Critical Reviews in Analytical Chemistry 43(4):224–272. 10.1080/10408347.2012.751787

Schaafsma, G. 2005. The protein digestibility-corrected amino acid score (PDCAAS)—a concept for describing protein-quality in foods and food ingredients: a critical review. Journal of AOAC International 88(3):988–994. 10.1093/jaoac/88.3.988

Szilagyi, A. 2004. Redefining lactose as a conditional prebiotic. Canadian Journal of Gastroenterology 18(3):163–167. 10.1155/2004/350732

Tellez, G., Dean, C.E., Corrier, D.E., Deloach, J.R., Jaeger, L., and Hargis, B.M. 1993. Effect of lactose on cecal microflora and pathogen reduction. Journal of Poultry Science 72(11):1829–1836. 10.3382/ps.0720636

Tufarelli, V., Passantino, L., Zupa, R., Crupi, P., and Laudadio, V. 2022. Suitability of dried olive pulp in slow-growing broilers: performance, meat quality, oxidation products, and intestinal mucosa features. Poultry Science 101(12):102230. 10.1016/j.psj.2022.102230

Vanivska, K., Dianová, L., Halo, M., Štefunková, N., Lenický, M., Slanina, T., Tirpák, F., Jambor, T., Lukáč, N., Stawarz, R., Jaszcza, K., and Massányi, P. 2025. The impact of endocrine disruptions on animal and human organism. Journal of Microbiology, Biotechnology and Food Sciences 14(6):e11855. 10.55251/jmbfs.11855

Veldhorst, M., Smeets, A., Soenen, S., Hochstenbach-Waelen, A., Hursel, R., Diepvens, K., Lejeune, M., Luscombe-Marsh, N., and Plantenga, M.W. 2008. Protein-induced satiety: effects and mechanisms of different proteins. Physiology & Behavior 23:300–307. 10.1016/j.physbeh.2008.01.003

Wani, F.A., Albahrawy, A.Z., and Rahiman, S. 2015. Hypolipidemic activity of olive oil (Olea europaea) against high-fat diet--induced nonalcoholic fatty liver disease (NAFLD) in mice. Open Journal of Pathology 5(03):73. 10.4236/ojpathology.2015.53011

Wu, P., Chen, Y., Kong, Y., Chen, J., Yang, P., and Zhang, Y. 2020. Effect of lactose on intestinal morphology and digestion. Journal of Animal Feed Science and Technology 269:114616. 10.1016/j.anifeedsci.2020.114616

Yan, H., Yu, B., Degroote, J., Spranghers, T., Van Noten, N., Majdeddin, M., Van Poucke, M., Peelman, L., De Vrieze, J., Boon, N., Gielen, I., Smet, S., Chen, D., and Michiels, J. 2020. Antibiotic affects the gut microbiota composition and expression of genes related to lipid metabolism and myofiber types in skeletal muscle of piglets. BMC Veterinary Research 16(1):392. 10.1186/s12917-020-02592-0

Yiğit, A., Bielska, P., Cais-Sokolińska, D., and Samur, G. 2023. Whey proteins as a functional food: health effects, functional properties, and applications in food. Journal of the American Nutrition Association 42(8):758–768. 10.1080/27697061.2023.2169208

Zarei, M., Ehsani, M., and Torki, M. 2011. Productive performance of laying hens fed wheat-based diets included olive pulp with or without a commercial enzyme product. African Journal of Biotechnology 10(20):4303–4312. 10.5897/AJB10.2361